平成17年3月 広島大学 歯学部 卒
平成17年4月 小室歯科 天王寺ステーションビル診療所勤務(医長)
平成23年6月 小室歯科 天王寺ステーションビル診療所退職
平成23年8月 新井歯科クリニック開院
iCEED
日本咬合育成研究会
ENー縁ーの会
日本口腔インプラント学会
EMS社のエアフローという機械を診療に取り入れて1年がたちました。おかげさまで多くの患者様からお褒めのお言葉を頂戴しています。いまでもエアフローってどんなクリーニング方法ですか?というお声もお聞きしますので、今回はEMS社のエアフロークリーニングの特徴や効果、注意点について、わかりやすく解説します。
エアフローでのクリーニングとは、歯面に空気と水、専用の微細なパウダーを吹き付ける機器「エアフロー」を使用して行う、歯にやさしいクリーニング方法です。
この「エアフロー」は、歯面にエアーとともにパウダーを吹き付けることで、汚れや着色を除去する歯科用機器を指します。
歯を削ったり強く擦ったりする必要がなく、歯の表面に付着した汚れを短時間で効率よく落とせる点が大きな特徴です。処置時間が短く、刺激や不快感が少ないため、患者様の負担を抑えたクリーニング方法として注目されています。

EMS社が提供するエアフローの最大の特徴はパウダーにあります。
従来のクリーニングでは研磨剤を使用するためどうしてもエナメル質を傷つけてしまいます。
EMS社のエアフローパウダーは非常に細かい粒子のため、エナメル質を傷つけません。そしてステインやヤニだけでなく、バイオフィルムも簡単に除去できます。また、パウダー自身もエリスリトールという人工甘味料のため体に害がないことも特徴です。
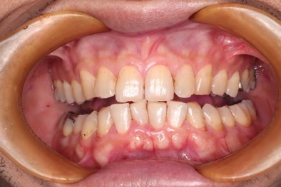
まずはプラークが残っている部分を染め出しします。
その後パウダーを用いて綺麗にしていきます。
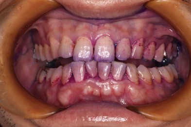
術前
染め出し
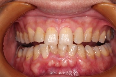
術後

ここまで良いことを書きましたが、誰でもエアフローができるわけではありません。
エアフローは汚れを落とすのは得意ですが、歯石の除去は得意ではありません。歯石の量が多い、または硬い歯石の人は先に歯石を除去してからエアフローをする必要があります。ですので、当院では初回のエアフローは行っておらず、1度診察を受けたあと適応症であればエアフローを使用します。その後定期検診ではエアフローができることが多いですが、間隔があいてしまうと歯石の量が増えてできないこともあるのでご了承ください。
EMSエアフローは短時間で効果的に汚れなどを除去できるので歯のクリーニングに最適です。エナメル質を傷つけることなく、かつ従来よりも早くクリーニングを終えることができるのでこれからの歯のクリーニングのスタンダードになると思っています。当院でEMSエアフローを受けたいと思ったらぜひ一度歯科衛生士にご相談ください。
EMS社のエアフローという機械を診療に取り入れて1年がたちました。おかげさまで多くの患者様からお褒めのお言葉を頂戴しています。いまでもエアフローってどんなクリーニング方法ですか?というお声もお聞きしますので、今回はEMS社のエアフロークリーニングの特徴や効果、注意点について、わかりやすく解説します。
エアフローでのクリーニングとは、歯面に空気と水、専用の微細なパウダーを吹き付ける機器「エアフロー」を使用して行う、歯にやさしいクリーニング方法です。
この「エアフロー」は、歯面にエアーとともにパウダーを吹き付けることで、汚れや着色を除去する歯科用機器を指します。
歯を削ったり強く擦ったりする必要がなく、歯の表面に付着した汚れを短時間で効率よく落とせる点が大きな特徴です。処置時間が短く、刺激や不快感が少ないため、患者様の負担を抑えたクリーニング方法として注目されています。

EMS社が提供するエアフローの最大の特徴はパウダーにあります。
従来のクリーニングでは研磨剤を使用するためどうしてもエナメル質を傷つけてしまいます。
EMS社のエアフローパウダーは非常に細かい粒子のため、エナメル質を傷つけません。そしてステインやヤニだけでなく、バイオフィルムも簡単に除去できます。また、パウダー自身もエリスリトールという人工甘味料のため体に害がないことも特徴です。
まずはプラークが残っている部分を染め出しします。
その後パウダーを用いて綺麗にしていきます。
術前
染め出し
術後

ここまで良いことを書きましたが、誰でもエアフローができるわけではありません。
エアフローは汚れを落とすのは得意ですが、歯石の除去は得意ではありません。歯石の量が多い、または硬い歯石の人は先に歯石を除去してからエアフローをする必要があります。ですので、当院では初回のエアフローは行っておらず、1度診察を受けたあと適応症であればエアフローを使用します。その後定期検診ではエアフローができることが多いですが、間隔があいてしまうと歯石の量が増えてできないこともあるのでご了承ください。
EMSエアフローは短時間で効果的に汚れなどを除去できるので歯のクリーニングに最適です。エナメル質を傷つけることなく、かつ従来よりも早くクリーニングを終えることができるのでこれからの歯のクリーニングのスタンダードになると思っています。当院でEMSエアフローを受けたいと思ったらぜひ一度歯科衛生士にご相談ください。