平成17年3月 広島大学 歯学部 卒
平成17年4月 小室歯科 天王寺ステーションビル診療所勤務(医長)
平成23年6月 小室歯科 天王寺ステーションビル診療所退職
平成23年8月 新井歯科クリニック開院
iCEED
日本咬合育成研究会
ENー縁ーの会
日本口腔インプラント学会
当院では全顎矯正を行う際、インビザラインを用いるマウスピース矯正とワイヤーを用いる矯正の2種類を提案させていただいています。マウスピース矯正のメリット・デメリットについては別記事で詳しく解説しておりますが、本記事ではワイヤー矯正の特徴・メリット・デメリットについて分かりやすくご紹介いたします。
ワイヤー矯正とは、歯の表面に「ブラケット」と呼ばれる装置を取り付け、そこにワイヤーを通して歯を動かしていく矯正方法です。当院ではワイヤーが見える唇側の矯正しか行っておりませんので、もしワイヤーが見えない舌側矯正をご希望でしたら専門医を紹介させていただきます。

ワイヤー矯正の大きなメリットは、治療途中でも仕上がり(ゴール)を調整できる点です。インビザラインのようなマウスピース矯正はゴールを決めてそこに進んでいきますが、歯を並べていく過程で少し歯を前に出したい、奥に引っ込めたいなどの希望が出た時にすぐ対応できることが最大のメリットになります。また、叢生(歯のガタガタ)がきつい症例は小臼歯を抜歯しますが、このような抜歯ケースは歯の移動量が多くワイヤーの方が扱いやすいです。
ワイヤー矯正は、マウスピース矯正と比べて装置が目立ちやすい点がデメリットです。
また、ブラケットやワイヤーが付いているため、歯磨きがしにくく、丁寧なケアが必要になります。
さらに、治療中にワイヤーやブラケットが外れてしまうことがあり、その都度調整のための通院が必要になる場合もあります。
初診
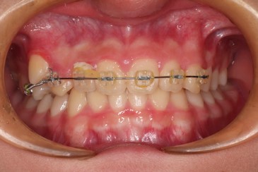
治療中
治療完了
このケースは1年ほどで治療終了しています。
全顎矯正にはワイヤー矯正とマウスピース矯正がありますが、それぞれの良さがありますのでどちらの治療法が患者様にとって有益かを判断する必要があります。もし矯正を考えている場合は一度ご相談ください
当院では全顎矯正を行う際、インビザラインを用いるマウスピース矯正とワイヤーを用いる矯正の2種類を提案させていただいています。マウスピース矯正のメリット・デメリットについては別記事で詳しく解説しておりますが、本記事ではワイヤー矯正の特徴・メリット・デメリットについて分かりやすくご紹介いたします。
ワイヤー矯正とは、歯の表面に「ブラケット」と呼ばれる装置を取り付け、そこにワイヤーを通して歯を動かしていく矯正方法です。当院ではワイヤーが見える唇側の矯正しか行っておりませんので、もしワイヤーが見えない舌側矯正をご希望でしたら専門医を紹介させていただきます。

ワイヤー矯正の大きなメリットは、治療途中でも仕上がり(ゴール)を調整できる点です。インビザラインのようなマウスピース矯正はゴールを決めてそこに進んでいきますが、歯を並べていく過程で少し歯を前に出したい、奥に引っ込めたいなどの希望が出た時にすぐ対応できることが最大のメリットになります。また、叢生(歯のガタガタ)がきつい症例は小臼歯を抜歯しますが、このような抜歯ケースは歯の移動量が多くワイヤーの方が扱いやすいです。
ワイヤー矯正は、マウスピース矯正と比べて装置が目立ちやすい点がデメリットです。
また、ブラケットやワイヤーが付いているため、歯磨きがしにくく、丁寧なケアが必要になります。
さらに、治療中にワイヤーやブラケットが外れてしまうことがあり、その都度調整のための通院が必要になる場合もあります。
初診
治療中
治療完了
このケースは1年ほどで治療終了しています。
全顎矯正にはワイヤー矯正とマウスピース矯正がありますが、それぞれの良さがありますのでどちらの治療法が患者様にとって有益かを判断する必要があります。もし矯正を考えている場合は一度ご相談ください