平成17年3月 広島大学 歯学部 卒
平成17年4月 小室歯科 天王寺ステーションビル診療所勤務(医長)
平成23年6月 小室歯科 天王寺ステーションビル診療所退職
平成23年8月 新井歯科クリニック開院
iCEED
日本咬合育成研究会
ENー縁ーの会
日本口腔インプラント学会
前歯の間に隙間があると、笑ったときにどうしても気になってしまうものです。最初は小さな隙間でも、年々広がってくると見た目の印象にも影響します。
今回は、前歯のすきっ歯に対して考えられる主な治療方法と、それぞれのメリット・デメリットについてご紹介します。
「すきっ歯」とは、歯と歯の間に隙間ができている状態を指します。特に上の前歯の真ん中に空間がある場合は「正中離開(せいちゅうりかい)」と呼ばれます。
すきっ歯は見た目の問題だけでなく、発音や噛み合わせに影響を及ぼすこともあります。たとえば、息が漏れてサ行・タ行の発音がしづらくなることや、食べ物が挟まりやすくなってむし歯や歯周病のリスクが高まる場合もあります。
すきっ歯は、生まれつきの要因だけでなく、日常の癖や歯の病気など、さまざまな理由で起こります。主な原因は次のとおりです。
あごが大きい、または歯が小さいと、歯と歯の間に自然と隙間ができます。
上唇の裏にある筋(上唇小帯)が下のほうに付着していると、前歯が引っ張られ隙間が生じやすくなります。
生まれつき歯の本数が少ない、またはむし歯や外傷で歯を失うと、その周りの歯が動いて隙間ができます。
歯を支える骨が減ると、歯がぐらつき前に倒れたり開いたりして、すきっ歯になることがあります。
舌で前歯を押す、唇をかむなどの癖があると、少しずつ歯が押し広げられて隙間ができます。
ここでは前歯のすきっ歯の主な治療法とそれぞれのメリット・デメリットをご説明します。
これはスタンダードであり、簡単な治療です。
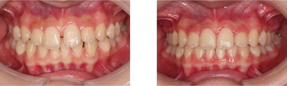
前歯の隙間を治すだけであれば半年もかからず、マウスピース矯正で治療可能です。
とても簡単で、かつ歯を削らないというメリットはありますが、一方でデメリットもあります。それは矯正治療により強制的に歯を動かしているので後戻りが発生するということです。それを抑制するために夜間に後戻り防止用のマウスピースを数年単位で装着する必要があります。

メリット:半年以内で歯を削らずに治療可能
デメリット:治療後夜間にマウスピースを長期間使用する必要がある
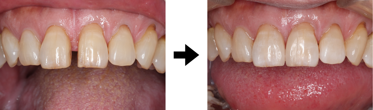
セラミック補綴と言えば、昔は歯を全部削ってクラウン、いわゆる被せ物を装着していました。当院ではできるだけ歯牙の削除量を抑えたいので、隙間が2mmほどなら自分の歯を全く削らずに治療することが可能です。これはパーシャルラミネートベニアという治療法で、従来のラミネートベニアを隙間だけに限定し、かつ歯をほとんど削りません。メリットばかりのように感じますが、非常に薄いセラミックを貼り付けますので、欠けることやたわむことではすれる可能性が多少あります。また、歯の幅(幅径といいます)が若干広くなるため、前歯がもともと短い方には注意が必要です。

このように薄いセラミックを装着します。

メリット:3回ほどの治療回数で歯をほとんど削らずに治療可能
後戻りしないのでその後気を使わなくてよい
保険外治療だが矯正治療より安価
デメリット:脱離や欠ける可能性がある
レジン(プラスチック)による充填治療は、レジンというプラスチックを歯に貼り付けて修復する治療法です。
上記の矯正治療や、ラミネートベニアによる低侵襲セラミック治療とは異なり、レジン(プラスチック)による充填治療は保険内での治療も可能です。
プラスチックをつけるだけなので即日修復可能ですが、プラスチックのためどうしても経年的に変色してしまいます。しかもプラスチックと歯牙の境目が縦にくるので、経年的に縦に褐色線が付いてくることもあります。また、プラスチックという材質のため日々の咬合で欠ける可能性が高くなります。上顎の前歯は一番審美性が追求される場所なので、プラスチックの治療は長期的に見るとおすすめできません。
メリット:保険の範囲内で1日での治療可能
デメリット:変色、褐色線、欠ける可能性が高い
前歯のすきっ歯、いわゆる正中離開の治療法は大きく分けて2つあります。矯正治療で幅を閉じるのが一般的ですが、夜間の保定を長期間するのは面倒と感じる場合はセラミックで治療するのも一つの方法となります。パーシャルラミネートベニアは技術的に難しい治療法となりますので、ご検討される場合は一度当院にご相談ください。
前歯の間に隙間があると、笑ったときにどうしても気になってしまうものです。最初は小さな隙間でも、年々広がってくると見た目の印象にも影響します。
今回は、前歯のすきっ歯に対して考えられる主な治療方法と、それぞれのメリット・デメリットについてご紹介します。
「すきっ歯」とは、歯と歯の間に隙間ができている状態を指します。特に上の前歯の真ん中に空間がある場合は「正中離開(せいちゅうりかい)」と呼ばれます。
すきっ歯は見た目の問題だけでなく、発音や噛み合わせに影響を及ぼすこともあります。たとえば、息が漏れてサ行・タ行の発音がしづらくなることや、食べ物が挟まりやすくなってむし歯や歯周病のリスクが高まる場合もあります。
すきっ歯は、生まれつきの要因だけでなく、日常の癖や歯の病気など、さまざまな理由で起こります。主な原因は次のとおりです。
あごが大きい、または歯が小さいと、歯と歯の間に自然と隙間ができます。
上唇の裏にある筋(上唇小帯)が下のほうに付着していると、前歯が引っ張られ隙間が生じやすくなります。
生まれつき歯の本数が少ない、またはむし歯や外傷で歯を失うと、その周りの歯が動いて隙間ができます。
歯を支える骨が減ると、歯がぐらつき前に倒れたり開いたりして、すきっ歯になることがあります。
舌で前歯を押す、唇をかむなどの癖があると、少しずつ歯が押し広げられて隙間ができます。
ここでは前歯のすきっ歯の主な治療法とそれぞれのメリット・デメリットをご説明します。
これはスタンダードであり、簡単な治療です。
前歯の隙間を治すだけであれば半年もかからず、マウスピース矯正で治療可能です。
とても簡単で、かつ歯を削らないというメリットはありますが、一方でデメリットもあります。それは矯正治療により強制的に歯を動かしているので後戻りが発生するということです。それを抑制するために夜間に後戻り防止用のマウスピースを数年単位で装着する必要があります。

メリット:半年以内で歯を削らずに治療可能
デメリット:治療後夜間にマウスピースを長期間使用する必要がある
セラミック補綴と言えば、昔は歯を全部削ってクラウン、いわゆる被せ物を装着していました。当院ではできるだけ歯牙の削除量を抑えたいので、隙間が2mmほどなら自分の歯を全く削らずに治療することが可能です。これはパーシャルラミネートベニアという治療法で、従来のラミネートベニアを隙間だけに限定し、かつ歯をほとんど削りません。メリットばかりのように感じますが、非常に薄いセラミックを貼り付けますので、欠けることやたわむことではすれる可能性が多少あります。また、歯の幅(幅径といいます)が若干広くなるため、前歯がもともと短い方には注意が必要です。

このように薄いセラミックを装着します。

メリット:3回ほどの治療回数で歯をほとんど削らずに治療可能
後戻りしないのでその後気を使わなくてよい
保険外治療だが矯正治療より安価
デメリット:脱離や欠ける可能性がある
レジン(プラスチック)による充填治療は、レジンというプラスチックを歯に貼り付けて修復する治療法です。
上記の矯正治療や、ラミネートベニアによる低侵襲セラミック治療とは異なり、レジン(プラスチック)による充填治療は保険内での治療も可能です。
プラスチックをつけるだけなので即日修復可能ですが、プラスチックのためどうしても経年的に変色してしまいます。しかもプラスチックと歯牙の境目が縦にくるので、経年的に縦に褐色線が付いてくることもあります。また、プラスチックという材質のため日々の咬合で欠ける可能性が高くなります。上顎の前歯は一番審美性が追求される場所なので、プラスチックの治療は長期的に見るとおすすめできません。
メリット:保険の範囲内で1日での治療可能
デメリット:変色、褐色線、欠ける可能性が高い
前歯のすきっ歯、いわゆる正中離開の治療法は大きく分けて2つあります。矯正治療で幅を閉じるのが一般的ですが、夜間の保定を長期間するのは面倒と感じる場合はセラミックで治療するのも一つの方法となります。パーシャルラミネートベニアは技術的に難しい治療法となりますので、ご検討される場合は一度当院にご相談ください。